1 Post graduate trainee, 2 Consultant, Department of Medicine, BR Singh Hospital and Centre for medical education and research, Eastern Railways, Kolkata
Abstract
A 54 years old patient of long standing asthma had worsened with relative steroid dependence without any obvious reason. He revealed raised IgE (< 1000 kU/L,) but evidence to sensitization to fungi including aspergillus. A treatment with itraconazole reduced symptoms and made the tapering of the steroid dose possible.
KEY WORDS: aspergillosis, itraconazole, IgE, asthma, fungal sensitization (The Pulmo -Face, 2014; 14:1, 24-25 )
Address of correspondence: Dr. Angira Dasgupta, Department of Medicine, BR Singh Hospital and Centre for medical education and research, Eastern Railways, Kolkata, Email: angiradasgupta@gmail.com
INTRODUCTION
Treatment of severe asthma is a challenge. In recent years, a lot of interest has been generated around allergic fungal airway diseases like allergic bronchopulmonary aspergillosis (ABPA). Infact, a new asthma variant has been described by Denning et al and this has been called "severe asthma with fungal sensitization (SAFS)". (1) The epidemiology of this entity remains unknown. But the importance of identifying this variant of severe asthma is related to treatment implications whereby additional antifungals may be beneficial. (2) We describe here a patient of severe asthma with fungal sensitization whom we treated with an antifungal agent in addition to the usual guideline based strategy including omalizumab.
THE CASE
A 54 year old gentleman who has been diagnosed as asthma from the age of 14 years presented with blood streaked sputum for 5 days. His asthma had gone worse in the past 2 to 3 years when he required at least 3 short courses of oral corticosteroids in a year in addition to high dose inhaled corticosteroids (fluticasone propionate 1000 mcg daily) and long acting bronchodilators (salmeterol 50 mcg daily). He is a never smoker and denied any history suggestive of any nasal, sinus, gastroesophageal, vasculitis or connective tissue diseases. Earlier his asthma used to remain well controlled with high dose combination inhalers only. He worked as a site inspector for the railways and used personal protective equipment at work.
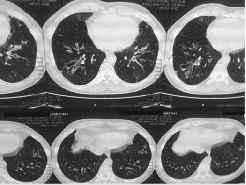
On examination he had bilateral diffuse polyphonicrhonchi. His spirometry showed very severe but reversible airflow obstruction FEV1 (0.83 L, 30% of predicted; FVC 1.3 L, 38% of predicted; FEV1/FVC 0.63). His routine blood examination was normal. He did not have peripheral eosinophilia. But his serum IgE was 573 IU/l. Specific fungal IgE was raised for Aspergillous fumigatus, Mucor racemosus, Candida Albican and dermatophagoides. CT scan of chest showed bronchiectasis in both upper and lower lobes of both lungs with mucous impaction and air fluid level in a cystic bronchiectatic cavity in right lower lobe (Figure1).

Figure 1: HRCT scan of chest showing bronchiectasis with mucous impaction and air fluid level in a cystic bronchiectatic cavity.
He was treated with oral corticosteroids and antibiotics in addition to high dose combination inhaler. His minimal steroid requirement was 15mg daily below which he started wheezing and got limited in his daily activities. He was started on injection Omalizumab (300mg twice a week) according to GINA guidelines and as oral steroids were being tapered he again started to get wheeze with mucoid expectoration and got limited in his activities of daily living at a dose of 10 mg prednisolone. He was then treated with itraconazole (200mg twice a day) in addition to the other medications.
This caused considerable improvement in his functional status although spirometry did not show any significant improvement. His oral steroid dose could now be tapered off to 5 mg without any exacerbations in 6 months. He continues to remain in follow up.
DISCUSSION
This case report demonstrates a typical case of severe atopic asthma who was later diagnosed as having "severe asthma with fungal sensitization". This patient continued to require high doses of oral corticosteroids despite guideline based therapy and was ultimately treated with additional itraconazole which led to improvement in his functional status with successful reduction in the dose of oral corticosteroids. "Severe asthma with fungal sensitization" or SAFS is a fairly recent nomenclature. These patients have severe asthma and are sensitized to one or more fungi, but have normal or only slightly elevated total IgE concentrations. The clinical and diagnostic manifestations of SAFS are thought to arise from an allergic response to multiple antigens expressed by A. fumigatus and possibly other fungi, colonizing the bronchial mucus. The published criteria for the diagnosis of SAFS are (i) severe asthma, (ii) total IgE < 1000 kU/L, and (iii) positive skin test or raised specific IgE to any fungus. (1) Some authors consider SAFS as a precursor of ABPA although this remains to be established. (3)
Itraconazole has been investigated for its use in SAFS in the recently published Fungal Asthma Sensitization Trial (FAST) which showed only modest improvements in Asthma Quality of Life Questionnaire (AQLQ). (2) The mechanism of the efficacy of azole and its duration of use in SAFS is still unclear. It has been suggested that treatment with itraconazole decrease airway colonization and thereby halt the resulting immune responses. Further, itraconazole increases the levels of certain inhaled steroids, thereby potentiating the effect of steroids. (4,5) However, the effects of itraconazole in the above trial lasted only for the duration for which it was administered.
This patient continues to be on high dose inhaled corticosteroids, 5mg of oral prednisolone and bimonthly Omalizumab injections for 6 months without significant exacerbations and a stable exercise capacity. We had discontinued itraconazole after 4 months.
CONCLUSION
The entity "severe asthma with fungal sensitization" needs further investigation. Its epidemiology, natural course and exact place in severe asthma guidelines remains unclear. Further randomised controlled trials with good power are needed to establish treatment strategies of this variant of severe asthma.
REFERENCE
1. Denning D W, O'Driscoll B R, Hogaboam C M, Bowyer P, Niven R M. The link between fungi and severe asthma: a summary of the evidence. Eur Respir J 2006; 27(3):615–626.
2. Denning D W, O'Driscoll B R, Powell G, et al. Randomized controlled trial of oral antifungal treatment for severe asthma with fungal sensitization: The Fungal Asthma Sensitization Trial (FAST) study. Am J Respir Crit Care Med. 2009;179:11–8.
3. Agarwal R. Severe Asthma with Fungal Sensitization. Curr Allergy Asthma Rep.2011; 11:403–413.
4. Varis T, Kaukonen K M, Kivisto K T, et al. Plasma concentrations and effects of oral methylprednisolone are considerably increased by itraconazole. Clin Pharmacol Ther. 1998;64:363–8.
5.Varis T, Kivisto K T, Neuvonen P J. The effect of itraconazole on the pharmacokinetics and pharmacodynamics of oral prednisolone. Eur J Clin Pharmacol. 2000; 56:57–60.
Dr. Angira Dasgupta
Department of Medicine, BR Singh Hospital and Centre for medical education and research,
Eastern Railways, Kolkata
Email: angiradasgupta@gmail.com